폐렴은 폐에 염증이 생긴 상태로 기도를 통해 세균 바이러스, 곰팡이, 기생충 등 오염물질이 들어와 폐 안에서 증식한 상태입니다.
폐렴은 호흡기 증상 중에서 흔히 볼 수 있지만 초기에 적절하게 대응을 하지 않고 방치하면 전신염증으로 퍼져 패혈증과 같은 합병증이 나타날 수 있습니다.
폐렴의 원인, 증상, 치료법에 대해 알아보겠습니다.

폐렴 원인
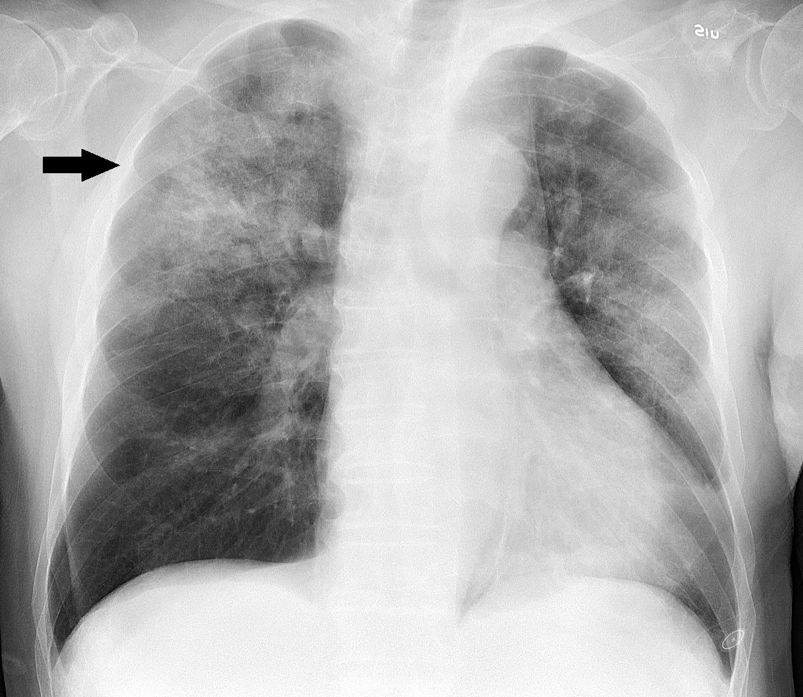
폐렴은 세균, 바이러스, 곰팡이 등이 원인으로 흉부 X-ray 사진에서 폐 부분이 하얗게 염증이 생긴 것으로 알 수 있습니다. 요즘 들어 RS 바이러스, 아데노바이러스, 인플루엔자 바이러스 등 다양한 바이러스가 유행하고 있는데 이것들로 인해 폐렴에 걸릴 수 있습니다. 폐구균, 마이코플라스마 등의 세균 감염도 폐렴의 원인입니다.
피로, 스트레스, 질환을 앓고 난 후 개인의 면역력이 떨어졌을 때, 음식물이나 침이 기도로 들어갔을 때에도 폐렴이 생길 수 있습니다. 뇌혈관장애, 폐기종, 폐결핵후유증, 간질성폐렴 등의 호흡기 질환, 신장, 심장질환, 당뇨병, 악성종양 등 지병이 있다면 회복 속도가 더딜 수 있습니다.
폐렴 증상
폐렴은 감기와 비슷하여 증상 구분이 쉽지 않습니다. 대표적인 증상은 고열, 가슴통증, 가래 섞인 기침, 근육통, 무기력증 등입니다.
특히 가래나 콧물의 색이 진한 누런색이라면 병원에 방문하여 X-ray 검사를 통해 폐렴 여부를 확인해야 합니다.
폐렴의 대표적인 증상은 발열로 감기나 다른 호흡기 질환, 감염성 질환에 걸려도 열이 날 수 있습니다. 발열이 나면 폐렴으로 인한 것인지 다른 질병 때문인지 확인할 필요가 있습니다.
폐렴의 증상이 심하지 않다면 발열이 없을 수 있고, 원인균에 따라 경증 또는 중증일 수 있습니다. 3일 이상 열이 지속되고 황색, 녹색 등의 가래가 많이 생긴다 싶으면 병원에서 검사를 받는 것이 좋습니다.
복통 같은 소화기 증상도 나타날 수 있습니다. 식욕감퇴, 설사, 소화불량 등의 증상이 동반됩니다. 심한 기침이 나올 수 있습니다. 폐렴에 걸리면 기낭이나 폐포에 체액이 쌓여 호흡곤란이나 심한 기침이 나오는데 이 증상 역시 감기나 독감과 크게 다르지 않아 주의가 필요합니다.
폐렴의 경우 기침할 때 폐부 깊숙이에서 하는 듯한 심한 소리가 나고 녹색 점액 섞인 가래가 나올 수 있습니다. 호흡하거나 기침을 할 때 흉통이 심해집니다. 날카롭게 찌르는 듯한 통증이 발생하면 폐렴일 수 있습니다.
호흡기질환으로 숨이 가빠져 호흡곤란이 생길 수 있습니다. 기관지염과 증상이 유사하니 약을 먹었는데도 증상이 호전되지 않았다면 폐렴을 의심할 수 있습니다.
폐렴은 폐 감염으로 인해 체액과 고름이 통증을 일으킵니다. 이때 체액과 고름이 산소가 폐포에서 혈류로 운반되는 것을 방해하여 숨 가쁨과 복부통증, 압박감 등이 생길 수 있습니다.
폐렴이 심해지면 노랗거나 녹색인 점액이 기침할 때 나올 수 있습니다. 2주 이상 피를 토하면서 기침하거나 호흡곤란이 심하다면 다른 폐 질환으로 발전할 수 있습니다.
하얀 손톱 증후군이 나타날 수 있습니다. 손과 발톱이 하얗게 변하는 증상으로 폐렴, 심장병, 유독한 화학물질에 중독된 경우 나타날 수 있습니다.

폐렴 치료 및 예방법
세균이 원인인 경우 항균제를 사용하여 치료하고 바이러스가 원인이면 항바이러스제를 사용합니다. 상태가 심각하지 않다면 통원치료를 하고 고위험군, 고령자 등 질병에 취약한 사람은 입원치료를 받게 됩니다.
세균성 폐렴은 흔한 질병으로 1~2주간 항생제 투여로 회복되지만 바이러스성 폐렴의 경우 더 오랜 시간 소요될 수 있습니다. 마이코플라스마 폐렴은 세균성 폐렴으로 항생제 효과가 별로 없어 한 달 이상 치료기간이 걸리기도 합니다.
폐렴의 예방법은 인플루엔자 백신, 폐렴구균 백신 접종이 있습니다. 인플루엔자 감염은 기도점막에 상처를 입혀 병원체가 침입하기 쉽게 만드므로 폐렴으로 발전할 수 있습니다.
폐렴구균 예방접종은 세균성 폐렴을 예방하는 것으로 폐렴으로 인한 합병증 악화도 막을 수 있습니다. 보통 합병증은 세균에 의한 경우가 많기 때문입니다.
음식물이나 침 등을 잘못 삼키는 경우에도 폐렴이 생길 수 있으므로 식사 중이나 식후 바르게 앉아 식사하는 습관을 들이고 입 안을 청결하게 관리해야 합니다. 수면제, 항우울제 등의 약을 장기간 복용하는 것을 이런 일이 생길 수 있으므로 주의가 필요합니다.
정리
폐렴의 원인과 증상, 치료와 예방법에 대해 알아보았습니다. 세균성 폐렴이 흔하게 발생하므로 예방접종을 통해 예방하고 식습관과 생활습관을 개선하는 것도 필요합니다. 오늘 글 잘 읽어보시고 건강한 생활 하시기 바랍니다. 감사합니다.
댓글